식물종합병원

진단 및 처방

sicknsinflist

진단 및 처방

살구 갈색썩음병(갈색부패병)
과수 > 살구 > 병해

증상

병원균

도감정보

살구 갈색썩음병(갈색부패병)

영문명 : Brown rot

식물명 : 살구

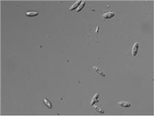
1. 병원균 : Phomopsis sp.

불완전균에 속하며, 병포자는 α포자(무색, 단세포, 5~8×2~3)β포자(낚시바늘 모양)를 형성함

 

2. 병징과 진단

처음에는 과실에 작은 갈색 반점이 나타나고 점차 진전되면서 직경 1~2cm 불규칙한 적갈색 병반으로 확대됨

 

3. 발생시기 및 발생조건

주로 생육 후기에 많이 발생하고 해에 따라 피해 정도가 매우 다름

병원균 생리생태에 관해 연구가 필요함

 

4. 방제방법

록된 약제는 없으나 검은별무늬병에 준하여 방제함